Next Generation PDT
TYPICAL TREATMENT PROGRAM
|
Patient is given the ‘NexGenPDT’ photosynthesising agent by mouth, a ChlorophyII based formula, which is sensitive to light. The agent selectively accumulates and concentrates in malignant cancer tissue; the patient is then exposed to specific light wave-lengths in the specialized ‘LDS’ Light Bed’. Light activates the NexGenPDT agent on the cancer cells, causing singlet oxygen to be created, which damage and destroy malignant cancer tissue while leaving normal tissue unharmed.
PDT utilizes a photosensitizer which selectively accumulates on diseased tissue followed by the application of specific wavelengths of light while normal tissue is unharmed. Soon after light treatment, the immune system recognizes the fragments of the cancer cells and produces antibodies which helps to control and destroy cancer cells throughout the body. |
|
Following light administration tumor cells are damaged or destroyed. Tumor cells (orange).
The specialized ‘LDS’ Light Bed’ activates the NexGenPDT agent on the cancer cells, causing singlet oxygen to be created, which damage and destroy malignant cancer tissue while leaving normal tissue unharmed.
NGPDT technology using red/near infra red (NIR) peaks of absorption and red/NIR light therapy allows whole body treatment as well as therapy for deep seated and advanced tumors (breast, lung, liver, brain, peritoneal).
NIR imaging of breast cancer following Next Generation PDT therapy.
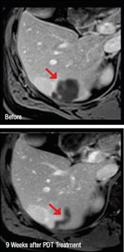
Patient showing improvement of liver cancer following NexGen PDT
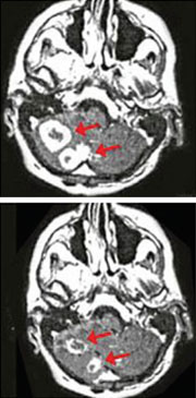
Improvement of brain cancer tumors 8 weeks following NexGen PDT
Other Treatments
Warning
Next Generation PDT has been developed through many years of R & D and is demonstrating remarkable benefits for patients. Unfortunately, there are a few companies who are falsely using our trademarked name, proven success and growing reputation in PDT treatment in an attempt to lure the unsuspecting and gullible.
These Clinics and individuals are infringing our Trade Mark and are in violation of our Patent, Trademark and Copy Rights.
These three entities (one in the UK and two in China) are using outdated technologies that are clearly inferior to the advanced NG PDT technologies developed by the Next Generation PDT Group.
(They use an agent discovered by the NGPDT group over 20 years ago which has a limited in depth penetration and do not have innovative and patented light delivery system lasers and light delivery systems in addition to other deficiencies.)
Please Note:
Trademarks and Patents own by NGPDT Group
- NextgenerationPDT
- NGPDT
- Photosoft
- E6 Complex
- PhotosoftDFJ
- PhotosoftDFJ4

